Право-мед.ру
Актуальные новости о здравоохранении, правовых аспектах и охране здоровья для профессионалов и интересующихся
Подписаться в TelegramВиниры давно считаются одним из самых эффективных способов улучшить эстетику улыбки. Однако это решение подходит не каждому, и профессиональные стоматологи всегда подчеркивают: виниры устанавливаются строго по показаниям. Во многих случаях достаточно ортодонтического лечения и отбеливания, чтобы пациент получил ровную и естественную улыбку без необходимости в микропротезировании.
Ниже — подробный разбор того, стоит ли устанавливать зубные виниры, а также какую роль играют гнатология и цифровой протокол SDiMatriX.
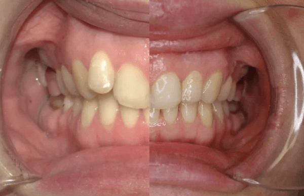
Ниже фото до и после – установлены виниры для исправления цвета и формы зубов. Источник изображения: Лёгкая стоматология

Виниры — тонкие накладки, которые закрепляются на переднюю поверхность зубов. Они используются для маскировки различных эстетических несовершенств:
Важная особенность: виниры не исправляют прикус. Стоматологи Лёгкой стоматологии всегда делают акцент на том, что сначала необходимо восстановить здоровье зубочелюстной системы, а затем — заниматься эстетикой.
Виниры подходят пациентам, у которых:
Отдельная категория — блогеры, публичные люди, артисты, для которых особенно важна идеальная форма и цвет зубов в кадре.
При этом в большинстве случаев пациентам достаточно пройти ортодонтическое лечение, выровнять прикус и сделать отбеливание. Эти три шага дают эстетичный и максимально естественный результат.
Важно: виниры имеют срок службы. После его истечения накладки требуется менять — это нормальный и плановый этап ухода.
Относительные противопоказания (могут быть устранены):
Абсолютные противопоказания:
Если зубы изначально ровные и здоровые, необходимость в винирах отсутствует — это лишнее вмешательство.
Композитные
Устанавливаются за один приём — материал наносится непосредственно на зуб.
Плюсы: быстро, доступнее по стоимости.
Минусы: служат меньше, подвержены окрашиванию.
Керамические
Изготавливаются в лаборатории по индивидуальному слепку.
Плюсы: высокая прочность, эстетика, срок службы 10–15 лет.
Минусы: требуют ожидания и тщательной подготовки.
1. Ортодонтия вместо виниров
Пациент хотел установить виниры, однако после прохождения ортодонтического лечения эстетика зубов стала настолько хорошей, что необходимость в накладках отпала. Подобные ситуации встречаются часто: грамотная ортодонтия решает до 80% эстетических проблем. Стоимость лечения: около 300 000 ₽. Кейс стоматологии. Для решения проблемы пациента были использованы элайнеры, чтобы выровнять несколько зубов. Итог: зубной ряд стал ровным, цвет – естественно светлым, и итоговая улыбка выглядела гармонично и эстетично без необходимости установки виниров. Источник изображения и описания – Лёгкая стоматология

2. Комбинация ортодонтии и виниров
Зубы были выровнены с помощью брекетов, после чего пациент решил изменить форму отдельных зубов с помощью виниров. Благодаря ровному прикусу обточка была минимальной или вовсе не потребовалась. Эстетика — максимально естественная. Стоимость: ортодонтия + виниры ≈ 1 000 000 ₽
3. «Алмазная ортодонтия» — метод, который большинство клиник не практикуют
Некоторые пациенты просят сделать «красиво и быстро», пропуская этап исправления прикуса. Это требует сильной обточки зубов и установки коронок там, где можно было сохранить ткани. Итог — высокая стоимость и низкая надёжность результата. **Стоимость примерно 2 000 000 ₽.
Эстетическое лечение — это не только форма зубов, но и правильное положение нижней челюсти, работа связочного аппарата и мышц. Поэтому перед установкой виниров и при планировании ортодонтического лечения пациентам часто необходима консультация гнатолога – спросите об этом на консультации в стоматологии.
Гнатолог определяет:
Связка «ортодонт + гнатолог» обеспечивает предсказуемый результат и долговечность реставраций.
Наиболее известный цифровой протокол – SDiMatriX, который даёт максимально точное понимание работы зубочелюстной системы.
Методика включает:
SDiMatriX позволяет стоматологам:
Именно такая диагностика обеспечивает долговечность виниров и комфорт пациента.
Виниры — отличное решение для пациентов с эстетическими дефектами: сколами, трещинами, заметными пятнами, стойкими изменениями оттенка эмали, а также для людей, чья работа требует идеальной улыбки — блогеров, телеведущих, артистов и других публичных персон.
Однако для большинства людей приоритетный и наиболее натуральный путь: ортодонтия → лечение у гнатолога (при необходимости) → отбеливание → индивидуальные реставрации.